Chiari Support
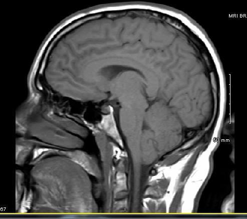
MRI anyone have any input? I go to the NS next week. Thanks!
General
austin_98
August 8, 2013, 12:05am
1
jcdemar
August 8, 2013, 2:17pm
2
No denying a herniation. Good luck with your appt. let us know what happens
Related topics
Topic
Replies
Views
Activity
NS appointment tomorrow
What's New With You?
12
1987
September 28, 2011
Neurosurgeon appt..not happy!
General
5
138
March 19, 2013
My NS Finds Me Too Complicated
General
0
73
December 16, 2012
Opinions
General
0
78
July 24, 2012
First appointment with neurosurgeon tomorrow
Surgery and Recovery
10
881
December 7, 2011