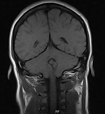
Simple question about my brain MRI, rearview

Simple, ignorant question (because I truly have no idea if this is normal or not). Does this rearview MRI of my brain show herniation or no? It seems obvious to me, but for all I know (and don't know), this may be normal


And just for reference (as I have it posted elsewhere for discussion) here is the side view:


Thanks again!

Thank you--that's my impression too, Emmaline; I was wondering if a Chiari can be visible from the rear as well. It seems clear to me from the rearview, but I'm not confident in that and was wondering what others thought.